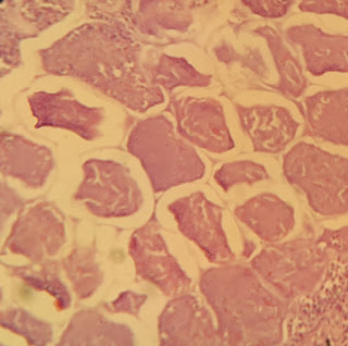
Пневмоцистная пневмония у ВИЧ-инфицированных, гистология.
При малом увеличении хорошо видны пневмоцисты в альвеоллярном экссудате.
У здоровых людей такого не встретишь. А вот при иммунодефиците (СПИД) при размножении пневмоцисты постепенно заполняют всё альвеолярное пространство.
Воздействие трофозоита на стенку альвеол вызывает её утолщение и альвеолярно-капиллярный блок. Что приводит к тяжёлой гипоксии.
Пенисто-ячеистые массы в альвеолах, полнокровие и клеточная инфильтрация межальвеолярных перегородок с деструкцией.
#гистология
#патологоанатом


